前歯の矯正治療(エクストルージョン)を行い、歯を抜かずに残せた治療
他院では抜歯と言われた歯を「エクストルージョン」治療を行うことで歯を抜かずに残せました。
歯茎の中まで虫歯が進行した場合は抜歯の適応になります。
「エクストルージョン:矯正的挺出治療」を行った治療をご説明致します。

歯を出すことでなぜ歯を抜かずに済むのかはこちらのページ(歯を抜かないための部分矯正)もご覧ください。(文字をクリックすると治療説明ページに飛びます)
治療の写真をホームページに載せることは患者様の許可を得ています。

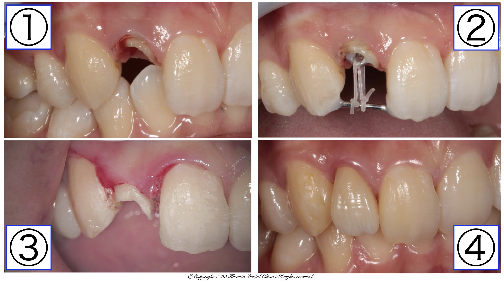
大まかな【治療手順】です。
①歯を外します。歯茎の中まで虫歯が広がっていました。
②ワイヤーをつけて矯正治療を行います。(仮歯を入れるので治療中は見た目は自然です。)
③歯が理想的な位置に出てきました。
④綺麗なセラミックスの歯を被せて治療終了です。
【詳細をご説明致します】
当院にお越し頂いた時には被せ物が入っていましがが外れかかっていて、その下が虫歯でした。
様々な検査を行い、被せ物を外すと抜歯になる可能性が非常に高く、エクストルージョン治療をご提案し治療開始しました。
外してからどのように治療をするかを考えてしまうと後手後手の医療になってしまうため、治療前にしっかりとした治療の計画が重要です。

歯を外し、中に入っていたメタルコアも慎重に外します。
当然ながらマイクロスコープを使用し、削る量を最小限にします。

治療前の推測通り歯がほとんど残っていません。
通常であれば抜歯が適応になる状態ですが、今回は歯を残すためにエクストルージョンを行いました。

引っ張り出す歯にフックを装着し、前後の歯には固定となるためのワイヤーを装着します。
当然ながら見た目の改善のために外側には仮歯を装着しました。
フックとワイヤーにはゴムをつけて引っ張ります。
ゴムは1〜3週間毎に交換します。
【治療のイメージです】


2ヶ月で歯がしっかりと出てきました。

時系列の比較です。

歯茎も一緒に出てくるので歯茎の位置を調整します。
ワイヤーを外して土台を製作します。ここまで歯があれば被せ物を作ることが可能になります。
仮歯を製作し審美的に綺麗になっているか十分に確認をします。

今回は根管治療も行いました。
当然ですがマイクロスコープを使用しています。
治療前では歯の先に膿があるためにレントゲンで黒く見えますが、治療後にはしっかり治っています。

オールセラミックスクラウンを装着し治療終了しました。
綺麗な歯が入り患者様は非常に喜んでいました。
何よりも歯を抜かずに済んだことが私たちも非常に嬉しいです!
抜歯が適応になる歯も様々な治療方法で抜かずに済むことは非常に多いです。
歯のことでお悩みの方は川手歯科医院までお気軽にご相談ください。
川手歯科医院
院長 川手良祐
| 年齢・性別 | 28歳 女性 |
|---|---|
| 治療費 |
エクストルージョン治療 88,000円/税込(2022.7月現在) 調整料 27,500円(5,000円✖️5回分) *回数は状況により変わります。 *別途被せ物等の治療費がかかります。 |
| 治療期間 | 3ヵ月 |
| 治療回数 | 6回 |
| リスク | 歯の状況により、治療中は磨きにくくなることもあります。治療前に十分な検査・診断が必要になります。 |


